Tooth Time has expanded to provide service in the Sandhills region of North Carolina
Tooth Time has expanded to provide service in the Sandhills region of North Carolina
Signed in as:
filler@godaddy.com

Endodontic therapy is treatment of a diseased exposed pulp cavity. Root Canal and Vital Pulp Therapy can be performed to treat and save fractured or non-vital teeth.

When the enamel of the tooth is damaged the sensitive dentin layer is exposed beneath. Sealing the dentin and/or applying a composite restoration to re-contour the tooth surface provides protection for the underlying pulp. The restoration or sealant will also smooth the surface, preventing increased plaque and tartar accumulation.

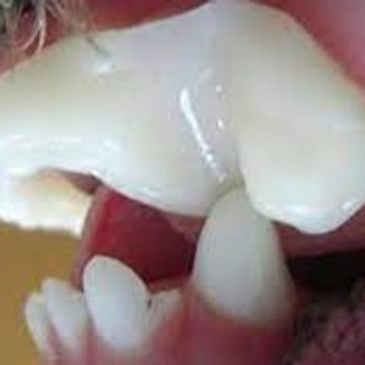
Multiple options exist to correct improper alignment and an uncomfortable bite. The goal of veterinary orthodontics is to restore function and comfort to the oral cavity. Treatment options include incline plane, crown extensions, and button/brackets with masel chain.

Extractions can often be complicated by severe periodontal disease, cyst formation, or unerupted teeth. Surgical ex tractions can be performed for complicated cases. Goals are to minimize bone loss. Bone graft placement can enhance new bone formation with the goal of maintaining bone height around the adjacent teeth.

Stomatitis is an extremely painful condition in cats causing severe oral inflammation. Extraction of pre-molars and molars or full mouth extraction frequently results in remission of this debilitating condition. After having the teeth extracted, cats are able to enjoy a pain free life and eat normally.

Trauma and advanced periodontal disease are common causes of jaw fractures in canine and feline patients. Jaw fracture stabilization and repair is often performed with wire and acrylic splinting in the mouth. Pets tolerate these appliances well and many owners do not notice them in their pets mouth.

An oral mass is a benign or tumor associated with the gums, teeth, tongue, cheeks, roof of the mouth or the lips. They may get quite large before the pet has any symptoms. Appropriate imaging and biopsy are key to surgical planning. Depending on the tumor type, resection can often be curative. However, for certain tumor types additional
An oral mass is a benign or tumor associated with the gums, teeth, tongue, cheeks, roof of the mouth or the lips. They may get quite large before the pet has any symptoms. Appropriate imaging and biopsy are key to surgical planning. Depending on the tumor type, resection can often be curative. However, for certain tumor types additional treatment may be necessary including referral to a veterinary oncologist for treatment such as radiation or chemotherapy,

Conditions such as gingival hyperplasia can cause excessive gingival tissue development. This condition can be a genetic disorder or a result of administration of certain medications. Gingival hyperplasia causes deep periodontal pockets which can result in advanced periodontal disease and tooth loss. Excess gingiva should be removed to treat this condition and prevent periodontal disease.

Crowns can provide protection to teeth that are weakened by trauma or excess wear. They are custom made most commonly for the canine tooth and upper fourth pre-molar. Crowns are often placed after a root canal is performed for added protection of the salvaged tooth.
Tooth Time Veterinary Dental Service, LLC
Seven Lakes, North Carolina
Email: info@toothtimevetdent.com
Copyright © 2024 Tooth Time Veterinary Dental Service - All Rights Reserved.
Powered by GoDaddy
We use cookies to analyze website traffic and optimize your website experience. By accepting our use of cookies, your data will be aggregated with all other user data.